Diş Eti çekilmesi Tedavisi Izmir

Dis Eti Cekilmesi Tedavisi Uzm Dr Ceren Okur Altug Karsiyaka Izmir

Dis Eti Cekilmesi Tedavisi Uzm Dr Ceren Okur Altug Karsiyaka Izmir

Dis Eti Cekilmesi Nedir Dis Eti Cekilmesi Tedavisi Nasil Yapilir

Dis Eti Cekilmesi Nedir Dis Eti Cekilmesi Tedavisi Nasil Yapilir

Dis Eti Izmir Tedavi Turkiyede Implant

Dis Eti Izmir Tedavi Turkiyede Implant

Hacamat Izmir Izmir Hacamat 0531 426 93 41 Hacamatin Faydalari

Hacamat Izmir Izmir Hacamat 0531 426 93 41 Hacamatin Faydalari

Dis Eti Cekilmesi Nedir Dis Eti Cekilmesi Tedavisi Nasil Yapilir

Dis Eti Cekilmesi Nedir Dis Eti Cekilmesi Tedavisi Nasil Yapilir

Ozel Dentin Agiz Dis Sagligi Poliklinigi

Ozel Dentin Agiz Dis Sagligi Poliklinigi

Ozel Dentin Agiz Dis Sagligi Poliklinigi

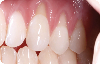
Bu dokuda gerçekleşen çekilme dişi ve diş köklerini açığa çıkartır.

Diş eti çekilmesi tedavisi izmir. Yeşil çay diş eti çekilmesi için kullanılan bitkisel yöntemlerden biridir. Akabinde ortodontik tedaviye ihtiyacımın olduğunu anlattı. Uzun zamandır var olan diş eti çekilmesi rahatsızlığımı hızlı ve titiz bir şekilde planlayıp tedavi eden enerjisi y. Dişlerimin acilen diş eti köklerinin t emizlenmesi ve bazı dişetlerimin oldukça çekildiğinden bahsetti.

Diş eti dişlerin boyun kısmını saran kök kısmını koruyan ve çeneye kadar uzanan pembe bir dokudur. Yeşil çay içeriğinde bulunan antioksidanlar sayesinde diş eti çekilmesinde faydalanabileceğiniz etkili doğal bir içecektir. Yaşla beraber diş eti çekilmesi ihtimali artar. Diş eti çekilmesi en sık karşılaşılan diş sağlığı problemlerinin başında gelir.

Ilık yeşil çayı gargara yaparak kullanabilirsiniz. Yeşil çayı normal içerken çok sıcak olmaması şartıyla ağzınızın içinde dolaştırarak diş eti çekilmesini önleyebilirsiniz. Diş eti hastalıkları tedavisi. Diş hekiminiz tarafından yapılan biriken ve sertleşen diş taşına dönüşmüş plakların temizlenmesi diş eti hastalıklarının önlenmesini sağlar düzenli olarak diş hekiminizi yılda iki kez ziyaret ederek erken dönemdeki diş eti hastalığını daha ciddi bir duruma dönüşmeden tedavi.

İzmir diş eti çekilmesi diş hekimleri listesi. Esas tedavi kararı hastaların estetik beklentisine göre verilir. Doktor fatma hanıma diş eti çekilmesi ve hastalığı teşhisi için gittim. Diş eti çekilmesi tedavisi size en yakın diş doktorunu bulabilir ve hasta değerlendirmelerini okuyabilirsiniz.

Diş eti çekilmesi hangi yaş gruplarında görülür. Diş eti çekilmesi diş etinin diş kökü üzerinden çekilerek kök yüzeyinin açığa çıkmasıdır. Diş eti çekilmesinden muzdaripseniz günde 3 4 bardak içebilirsiniz. Bu boşluklara hastalığa neden olabilecek bakteriler kolayca birikebilir.

Susam yağı da diş eti çekilmesini durdurmak için önerdiğimiz diğer doğal bir üründür. Periodontoloji cerrahi i̇zmir diş eti hastalıkları tedavisi i̇zmir ağız koruyucusu i̇zmir diş bakımı i̇zmir dental anestezi i̇zmir diş beyazlatma i̇zmir daha fazla 15. Bu nedenle her dişeti çekilmesi tedavi edilmek zorunda değildir. Ancak dişeti çekilmeleri tek başına diş kaybına yol açmaz.

Dis Eti Cekilmesinin Nedenleri Ozel Bornova Dent

Dis Eti Cekilmesinin Nedenleri Ozel Bornova Dent

Dis Eti Cekilmeleri Sebepleri Ve Tedavisi Saglik Haberleri

Dis Eti Cekilmeleri Sebepleri Ve Tedavisi Saglik Haberleri

Dis Eti Izmir Tedavi Turkiyede Implant

Dis Eti Izmir Tedavi Turkiyede Implant

Dis Eti Hastaliklari Izmir Ozel Can Hastanesi

Dis Eti Hastaliklari Izmir Ozel Can Hastanesi

Dis Eti Cekilmesi Nedir Dis Eti Cekilmesi Tedavisi Nasil Yapilir

Dis Eti Cekilmesi Nedir Dis Eti Cekilmesi Tedavisi Nasil Yapilir

Dis Eti Hastaliklarinda Prp Ve Prf Tedavisi Uzm Dr Ceren Okur Altug Karsiyaka Izmir

Dis Eti Hastaliklarinda Prp Ve Prf Tedavisi Uzm Dr Ceren Okur Altug Karsiyaka Izmir

Dis Eti Cekilmesi Neden Olur Izmir Implant

Dis Eti Cekilmesi Neden Olur Izmir Implant

Laser Destekli Diseti Hastaligi Tedavisi Youtube

Laser Destekli Diseti Hastaligi Tedavisi Youtube

Dis Eti Cekilmesi Tedavisi Dis Eti Zayifligi Nedenleri Bakimi 2dk Da Ogren Youtube

Dis Eti Cekilmesi Tedavisi Dis Eti Zayifligi Nedenleri Bakimi 2dk Da Ogren Youtube

Periodontal Tedavi Uygulamalari

Periodontal Tedavi Uygulamalari

Dis Eti Kanamasi Tedavisi Ctg Agiz Ve Dis Sagligi Merkezi

Dis Eti Kanamasi Tedavisi Ctg Agiz Ve Dis Sagligi Merkezi

Dis Eti Cekilmesi Nedir Tedavisi Nasil Olur Denta Logos Agiz Ve Dis Sagligi Poliklinigi

Dis Eti Cekilmesi Nedir Tedavisi Nasil Olur Denta Logos Agiz Ve Dis Sagligi Poliklinigi

Lamine Dis Ctg Agiz Ve Dis Sagligi Merkezi

Lamine Dis Ctg Agiz Ve Dis Sagligi Merkezi

Zirkonyum Dis Nedir Sanita Dis Hastanesi Istanbul Ve Izmir

Zirkonyum Dis Nedir Sanita Dis Hastanesi Istanbul Ve Izmir

Dis Eti Cekilmesi Eski Haline Gelirmi

Dis Eti Cekilmesi Eski Haline Gelirmi

Diseti Hastaliklari Ve Tedavi Yontemleri Ideal Dental Clinic Agiz Ve Dis Sagligi Poliklinigi

Diseti Hastaliklari Ve Tedavi Yontemleri Ideal Dental Clinic Agiz Ve Dis Sagligi Poliklinigi

Protez Sanita Dis Hastanesi Istanbul Ve Izmir

Protez Sanita Dis Hastanesi Istanbul Ve Izmir

Dis Eti Cekilmesi Nedir Tedavisi Nasil Olur Dent Menderes Agiz Ve Dis Sagligi Poliklinigi

Dis Eti Cekilmesi Nedir Tedavisi Nasil Olur Dent Menderes Agiz Ve Dis Sagligi Poliklinigi

Https Encrypted Tbn0 Gstatic Com Images Q Tbn And9gctu Jmuvivsnwybd01t3yt6r9ldn8nsq8lmiuht6g3fl P8 Lpm Usqp Cau

Https Encrypted Tbn0 Gstatic Com Images Q Tbn And9gctu Jmuvivsnwybd01t3yt6r9ldn8nsq8lmiuht6g3fl P8 Lpm Usqp Cau

Ortodonti Sanita Dis Hastanesi Istanbul Ve Izmir

Ortodonti Sanita Dis Hastanesi Istanbul Ve Izmir

Dijital Gulus Tasarimi Nasil Yapilir Sanita Dis Hastanesi Istanbul Ve Izmir

Dijital Gulus Tasarimi Nasil Yapilir Sanita Dis Hastanesi Istanbul Ve Izmir

Izmir Implant Dis Implanti Turkiye

Izmir Implant Dis Implanti Turkiye

Dis Eti Hastaliklari Dent232 Izmir Dis Teli Imlant Zirkonyum

Dis Eti Hastaliklari Dent232 Izmir Dis Teli Imlant Zirkonyum

Dis Hekimi Danisma Canli Destek Form Izmir Karsiyaka Dental Dis Tedavi

Dis Hekimi Danisma Canli Destek Form Izmir Karsiyaka Dental Dis Tedavi

Estetik Dis Hekimligi Dentaglobal Agiz Dis Ve Cene Cerrahisi Dis Implanti Estetik Dis Hekimligi Dis Beyazlatma Ortodonti Dis Eti Tedavi Cocuk Dis Kanal Tedavisi Dolgu Dis Protezleri Lazer Rontgen Dijital

Estetik Dis Hekimligi Dentaglobal Agiz Dis Ve Cene Cerrahisi Dis Implanti Estetik Dis Hekimligi Dis Beyazlatma Ortodonti Dis Eti Tedavi Cocuk Dis Kanal Tedavisi Dolgu Dis Protezleri Lazer Rontgen Dijital

Dis Hekimi Dis Sallanmasi Ve Dis Eti Cekilmelerinde Flap Ameliyati Ve Kuretaj Tedavisi Doktortakvimi Com

Dis Hekimi Dis Sallanmasi Ve Dis Eti Cekilmelerinde Flap Ameliyati Ve Kuretaj Tedavisi Doktortakvimi Com

Dis Eti Cekilmesi Nedir Nasil Olur

Dis Eti Cekilmesi Nedir Nasil Olur

Gummy Smile Dis Eti Gulumsemesi Tedavisi Uzm Dr Ceren Okur Altug Karsiyaka Izmir

Gummy Smile Dis Eti Gulumsemesi Tedavisi Uzm Dr Ceren Okur Altug Karsiyaka Izmir

Dis Eti Cekilmesi Tedavisi Paylasimlar Bucadent Agiz Ve Dis Sagligi Poliklinigi Facebook

Dis Eti Cekilmesi Tedavisi Paylasimlar Bucadent Agiz Ve Dis Sagligi Poliklinigi Facebook

Dis Eti Cekilmesi Nedir Dogru Dis Fircasinin Etkisi Nedir

Dis Eti Cekilmesi Nedir Dogru Dis Fircasinin Etkisi Nedir

Dis Eti Cekilmesi Nedir Tedavisi Nasildir

Dis Eti Cekilmesi Nedir Tedavisi Nasildir

Izmir Kanal Tedavisi Fiyatlari 2020 Locadent

Izmir Kanal Tedavisi Fiyatlari 2020 Locadent

Periodontal Tedavi Uygulamalari

Periodontal Tedavi Uygulamalari

Implant Tedavisi Neden Onemlidir Sanita Dis Hastanesi Istanbul Ve Izmir

Implant Tedavisi Neden Onemlidir Sanita Dis Hastanesi Istanbul Ve Izmir

Dis Eti Cekilmesi Neden Olur Saglik Haberleri

Dis Eti Cekilmesi Neden Olur Saglik Haberleri

Acisiz Dis Kanal Tedavi Izmir Izmir Implant

Acisiz Dis Kanal Tedavi Izmir Izmir Implant

Dis Eti Izmir Tedavi Turkiyede Implant

Dis Eti Izmir Tedavi Turkiyede Implant

Implant Dis Yapimi Ne Kadar Surer Sanita Dis Hastanesi Istanbul Ve Izmir

Implant Dis Yapimi Ne Kadar Surer Sanita Dis Hastanesi Istanbul Ve Izmir

Dis Eti Cekilmesine Bitkisel Tedavi Kuru Health Convenience Store Products

Dis Eti Cekilmesine Bitkisel Tedavi Kuru Health Convenience Store Products

Blog Ozel Dent Km Agiz Ve Dis Sagligi Poliklinigi

Blog Ozel Dent Km Agiz Ve Dis Sagligi Poliklinigi

Implant Nedir Dis Implanti Tedavisi Kimlere Uygulanir

Implant Nedir Dis Implanti Tedavisi Kimlere Uygulanir

Dis Eti Cekilmesi Nedir Kalenin Sesi Gazetesi Haber Portali Canakkale

Dis Eti Cekilmesi Nedir Kalenin Sesi Gazetesi Haber Portali Canakkale

Narlidere Veteriner Narlidere Veteriner Izmir Medicapet Veteriner Klinik Izmir Veteriner Izmir De Veteriner Izmir Veteriner Cerrahi Merkezi Narlidere De Veteriner

Narlidere Veteriner Narlidere Veteriner Izmir Medicapet Veteriner Klinik Izmir Veteriner Izmir De Veteriner Izmir Veteriner Cerrahi Merkezi Narlidere De Veteriner

Dis Eti Cekilmesi Tedavisi Estetik Dis Hekimi Ankara Erce Belecoglu

Dis Eti Cekilmesi Tedavisi Estetik Dis Hekimi Ankara Erce Belecoglu

Ozel Dentin Agiz Dis Sagligi Poliklinigi

Ozel Dentin Agiz Dis Sagligi Poliklinigi

Flap Operasyonu Dis Eti Cerrahisi Ve Flap Operasyonu Doktortakvimi Com

Flap Operasyonu Dis Eti Cerrahisi Ve Flap Operasyonu Doktortakvimi Com

Dis Tedavisi Sayfa 2 2 Sanita Dis Hastanesi Istanbul Ve Izmir

Dis Tedavisi Sayfa 2 2 Sanita Dis Hastanesi Istanbul Ve Izmir

Dis Eti Tedavisi Dentleon

Dis Eti Tedavisi Dentleon

Estetik Dis Uygulamalarinda Gereklilikler Ctg Agiz Ve Dis Sagligi Merkezi

Estetik Dis Uygulamalarinda Gereklilikler Ctg Agiz Ve Dis Sagligi Merkezi

Lamine Dis Uygulamalari Izmir Www Fundaerciyas Com

Lamine Dis Uygulamalari Izmir Www Fundaerciyas Com

Dis Eti Tedavileri Periodontoloji Dentaglobal Agiz Dis Ve Cene Cerrahisi Dis Implanti Estetik Dis Hekimligi Dis Beyazlatma Ortodonti Dis Eti Tedavi Cocuk Dis Kanal Tedavisi Dolgu Dis Protezleri Lazer Rontgen

Dis Eti Tedavileri Periodontoloji Dentaglobal Agiz Dis Ve Cene Cerrahisi Dis Implanti Estetik Dis Hekimligi Dis Beyazlatma Ortodonti Dis Eti Tedavi Cocuk Dis Kanal Tedavisi Dolgu Dis Protezleri Lazer Rontgen

Dis Eti Dokusunun Dis Ya Da Dis Kokunu Dent35 Agiz Ve Dis Sagligi Poliklinigi Facebook

Dis Eti Dokusunun Dis Ya Da Dis Kokunu Dent35 Agiz Ve Dis Sagligi Poliklinigi Facebook

Periodontoloji Dis Hekimi Ali Mehmet Bilik Izmir

Periodontoloji Dis Hekimi Ali Mehmet Bilik Izmir

Periodontoloji

Periodontoloji

Dentalizm Dis Klinigi Izmir

Dentalizm Dis Klinigi Izmir

Dis Eti Hastaliklari Dis Eti Cekilmesi Doktortakvimi Com

Dis Eti Hastaliklari Dis Eti Cekilmesi Doktortakvimi Com

Dis Eti Estetigi Nedir Smyrna Dent

Dis Eti Estetigi Nedir Smyrna Dent

Blog Ozel Dent Km Agiz Ve Dis Sagligi Poliklinigi

Blog Ozel Dent Km Agiz Ve Dis Sagligi Poliklinigi

Dis Eti Hastaliklari Izmir Ozel Can Hastanesi

Dis Eti Hastaliklari Izmir Ozel Can Hastanesi

Dis Eti Kanamasi Tedavisi Ctg Agiz Ve Dis Sagligi Merkezi

Dis Eti Kanamasi Tedavisi Ctg Agiz Ve Dis Sagligi Merkezi

Periodontoloji Dis Eti Hastaliklari Ozel Bornova Dent Dis Poliklinigi

Periodontoloji Dis Eti Hastaliklari Ozel Bornova Dent Dis Poliklinigi

Dis Hekimi Asude Polat Posts Facebook

Dis Hekimi Asude Polat Posts Facebook

Izmir Dis Eti Hastaliklari Periodontoloji Dentomega

Izmir Dis Eti Hastaliklari Periodontoloji Dentomega

Dis Eti Hastaliklarinda Prp Ve Prf Tedavisi Uzm Dr Ceren Okur Altug Karsiyaka Izmir

Dis Eti Hastaliklarinda Prp Ve Prf Tedavisi Uzm Dr Ceren Okur Altug Karsiyaka Izmir

Dis Eti Tedavileri Periodontoloji Dentaglobal Agiz Dis Ve Cene Cerrahisi Dis Implanti Estetik Dis Hekimligi Dis Beyazlatma Ortodonti Dis Eti Tedavi Cocuk Dis Kanal Tedavisi Dolgu Dis Protezleri Lazer Rontgen

Dis Eti Tedavileri Periodontoloji Dentaglobal Agiz Dis Ve Cene Cerrahisi Dis Implanti Estetik Dis Hekimligi Dis Beyazlatma Ortodonti Dis Eti Tedavi Cocuk Dis Kanal Tedavisi Dolgu Dis Protezleri Lazer Rontgen

Dis Eti Agrisi Neden Olur Nasil Gecer Saglik Haberleri

Dis Eti Agrisi Neden Olur Nasil Gecer Saglik Haberleri

Flap Operasyonu Sanita Dis Hastanesi Istanbul Ve Izmir Sanita Saglik Grubu

Flap Operasyonu Sanita Dis Hastanesi Istanbul Ve Izmir Sanita Saglik Grubu

Dis Eti Hastaliklari Dis Eti Cekilmesi Neden Olur Doktortakvimi Com

Dis Eti Hastaliklari Dis Eti Cekilmesi Neden Olur Doktortakvimi Com

Dis Eti Cekilmesi Nasil Gecer Dis Eti Cekilmesine Ne Iyi Gelir

Dis Eti Cekilmesi Nasil Gecer Dis Eti Cekilmesine Ne Iyi Gelir

Dis Eti Tedavisi Klinik Aydin

Dis Eti Tedavisi Klinik Aydin

Sifali Bitkilerim Ortodonti Fiyatlari Ankara

Sifali Bitkilerim Ortodonti Fiyatlari Ankara

Dis Eti Hastaliklarina Yol Acan 7 Neden Saglik Haberleri

Dis Eti Hastaliklarina Yol Acan 7 Neden Saglik Haberleri

Gulus Tasarimi Ozel Coskun Agiz Ve Dis Sagligi Poliklinigi

Gulus Tasarimi Ozel Coskun Agiz Ve Dis Sagligi Poliklinigi

Dis Eti Ameliyati Dis Eti Tedavisi Doktortakvimi Com

Dis Eti Ameliyati Dis Eti Tedavisi Doktortakvimi Com

Dis Eti Hastaliklari Tedavisi Karsiyaka Dental Ozel Agiz Ve Dis Sagligi Poliklinigi

Dis Eti Hastaliklari Tedavisi Karsiyaka Dental Ozel Agiz Ve Dis Sagligi Poliklinigi

Dis Eti Cekilmesi Nedir Nasil Tedavi Edilir Samsun Haber Son Dakika Samsun Haberleri Ve Guncel Haber

Dis Eti Cekilmesi Nedir Nasil Tedavi Edilir Samsun Haber Son Dakika Samsun Haberleri Ve Guncel Haber

Lamine Dis Uygulamalari Izmir Www Fundaerciyas Com

Lamine Dis Uygulamalari Izmir Www Fundaerciyas Com

10 Adimda Kanal Tedavisi Smyrna Dent

10 Adimda Kanal Tedavisi Smyrna Dent

Dent35 Dis Pol على تويتر Kanama Sisme Hassasiyet Ve Dis Eti Cekilmesi Gibi Dis Etlerinde Gorulen Problemler Genellikle Dis Eti Hastaliginin Belirtisi Olmaktadir Bu Gibi Problemlerin Tekrar Etmesi Durumunda Dis Hekimine Danisilmasi

Dent35 Dis Pol على تويتر Kanama Sisme Hassasiyet Ve Dis Eti Cekilmesi Gibi Dis Etlerinde Gorulen Problemler Genellikle Dis Eti Hastaliginin Belirtisi Olmaktadir Bu Gibi Problemlerin Tekrar Etmesi Durumunda Dis Hekimine Danisilmasi

Ozel Dentalsancak Agiz Ve Dis Sagligi Poliklinigi Alsancak Izmir

Ozel Dentalsancak Agiz Ve Dis Sagligi Poliklinigi Alsancak Izmir

Dis Eti Hastaliklari Tedavisi Diseti Iltihaplarina Kalici Cozumler

Dis Eti Hastaliklari Tedavisi Diseti Iltihaplarina Kalici Cozumler

Dis Eti Cekilmelerine Mudahalede Gecikmeyin

Dis Eti Cekilmelerine Mudahalede Gecikmeyin

Dis Eti Tedavisi Dentleon

Dis Eti Tedavisi Dentleon

Dis Curugu Tedavisi Sanita Dis Hastanesi Istanbul Ve Izmir Sanita Saglik Grubu

Dis Curugu Tedavisi Sanita Dis Hastanesi Istanbul Ve Izmir Sanita Saglik Grubu

Periodontoloji Dis Eti Hastaliklari Grident Lazer Destekli Dis Hekimligi

Periodontoloji Dis Eti Hastaliklari Grident Lazer Destekli Dis Hekimligi

Dis Eti Ameliyatlari Nasil Yapilir Kac Gunde Iyilisir

Dis Eti Ameliyatlari Nasil Yapilir Kac Gunde Iyilisir

Saglikli Dis Eti Ne Renk Olmali Saglik Haberleri

Saglikli Dis Eti Ne Renk Olmali Saglik Haberleri

Dis Eti Ameliyatlari Nasil Yapilir Kac Gunde Iyilisir

Dis Eti Ameliyatlari Nasil Yapilir Kac Gunde Iyilisir

Yanlis Fircalama Teknigi Ve Sert Fircalar Dis Eti Cekilmesi Nedeni

Yanlis Fircalama Teknigi Ve Sert Fircalar Dis Eti Cekilmesi Nedeni

Dis Estetigi Ozel Dent Km Agiz Ve Dis Sagligi Poliklinigi

Dis Estetigi Ozel Dent Km Agiz Ve Dis Sagligi Poliklinigi

Izmir Implant Dis Klinik Implant Dis Vidali Dis Izmir

Izmir Implant Dis Klinik Implant Dis Vidali Dis Izmir

Dis Kaybina Dahi Yol Acan Dis Eti Cekilmesi Ise Yarar Haberler

Dis Kaybina Dahi Yol Acan Dis Eti Cekilmesi Ise Yarar Haberler

Dis Hekimi Dislerin Sallanmasi Ve Dis Eti Cekilmelerinde Flap Ameliyatlari Nasil Yapilir Kuretaj Tedavisinin Faydasi Nedir Ve Nasil Yapilir Doktortakvimi Com

Dis Hekimi Dislerin Sallanmasi Ve Dis Eti Cekilmelerinde Flap Ameliyatlari Nasil Yapilir Kuretaj Tedavisinin Faydasi Nedir Ve Nasil Yapilir Doktortakvimi Com

Source : pinterest.com